Skip to content

Research

Research at the Department of Radiation Oncology is multifaceted, interdisciplinary, and translational. It is unified by an overarching goal: to improve precision radiotherapy through the definition of biological markers of response and/or toxicity and the translation of these into targeted clinical interventions. We have assembled a team of scientists who have unique backgrounds and expertise to develop innovative and comprehensive approaches in quantitative imaging, genomics, and bio-markers that can be implemented in the clinical treatment regimens of our patients. The research team works closely with clinicians and medical physicists to understand our clinic’s unmet needs and to design strategies for their solution.

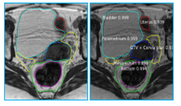
The success of radiation therapy is critically dependent on how accurately and precisely we can detect the location of tumors and characterize their aggressiveness. Over the last 12 years of continuous extramural funding, we have developed advanced imaging approaches to map the location of tumors. Furthermore, using the concept of habitats–areas in the tumor with distinct pathophysiology–we have developed techniques to map tumor heterogeneity. We have designed artificial intelligence (AI) deep learning networks for the automatic identification of tumors and the surrounding organs to maximize the delivery of radiation dose to tumors and to minimize toxicity. Through radiomics, which involves extracting quantitative imaging features in a high-throughput fashion, we have fashioned several models for predicting lesion aggressiveness. These models are informed by genomic signatures for adverse outcome (radiogenomics) and other clinical information. We will further improve risk classification and outcome prediction through the analysis of blood-based markers (such as circulating tumor cells (CTCs), ctDNA, and exosomes) that are early biomarkers of aggressive cancers.

Radiation oncology example of imaging

Because understanding and predicting tissue’s radiosensitivity and radioresistance is of paramount importance in radiation research, we have identified and study genes that affect radiosensitivity. For instance, we found that elevated expression of the polyamine pathway enzymes confers tumor growth advantage and radioresistance in glioblastoma. Our ability to modulate the proteins in this pathway can improve brain radiotherapy outcomes. At the same time, our group studies normal tissue toxicity, and, in particular, sphingomyelinase-dependent changes in glomerular basement membrane thickness as a mechanism of radiation-induced kidney damage. The goal is to develop countermeasures to reduce latent toxicities in patients who receive abdominal radiation. Our focus is also to improve outcomes for patients who require androgen deprivation therapy (ADT) to treat their castration-resistant prostate cancers.

Our group has a longstanding interest in the combination therapy of radiation and immunotherapy. We are investigating micronuclei and DNA damage, due to radiation treatment, to understand the role of innate and induced immunity in the efficacy of radiation therapy. The promise of combination therapy is the foundation of our nanoparticle development, which allows payload delivery, including checkpoint modulators.

We have made significant progress in the development of a small animal multi-modality imaging and radiotherapy (SMMMI-RT) platform to enable the modeling of cutting-edge clinical treatments. This device is a cornerstone of our laboratory-based interventional studies, which include theranostic nanoparticle development. Using a prostate cancer model, we have designed and synthesized Prostate Specific Membrane Antigen (PSMA) target gold nanoparticles for use as a theranostic tool. We are using clinically relevant prostate cancer mouse models and human patient derived xerographs (PDX models) for the in vivo evaluation of therapeutic efficacy. The SAMMI-RT platform can image with X-ray computed tomography, bioluminescence tomography, fluorescence molecular tomography, and X-ray fluorescence computed tomography. It can also deliver external beam radiation.